牙齿矫正要多久
- 时间:2015-11-11
- QQ咨询
- |
- 医师答疑
牙齿畸形一般表现为龅牙、地包天、虎牙、牙缝稀疏、牙列拥挤、牙列不齐、牙咬合异常等牙齿问题,如果不及时矫正,将严重影响美观度,还易引发其他口腔疾病。目前矫正牙齿方法较多,那么牙齿矫正要多久呢?上海美莱医疗美容医师为您介绍。
牙齿畸形是很普遍存在的,上海美莱医疗美容医师介绍,一般表现为龅牙、地包天、虎牙、牙缝稀疏、牙列拥挤、牙列不齐、牙咬合异常等牙齿问题,如果不及时矫正,将严重影响美观度,还易引发其他口腔疾病。目前矫正牙齿方法较多,那么纠正牙齿要多久呢?
矫正牙齿要多久
矫正牙齿要多久与矫正方法有关:矫治器分为活动矫治器和固定矫治器,通常活动矫治器矫正时间要稍长些。
矫正牙齿要多久与被矫正者年龄有关:儿童塑造性比较强,一般比成人牙齿矫正的时间要短。而反之,成年人矫正时间就要漫长些。
矫正牙齿要多久与牙齿畸形程度有关:每个人的牙齿畸形情况不同,矫正时间是不一样的。畸形程度比较小,纠正牙齿时间短些;反之,牙齿情况比较复杂,那么矫正时间要漫长些。
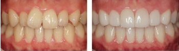
经典案例

上海美莱医疗美容医师提醒您,为了您的安心,一定要到专业正规的进行手术,如果您还有任何疑问,可以免费咨询我们的在线医师。我们是您专业的美容顾问,为您的美丽保驾护航。
- 上一篇:牙齿矫正注意事项
- 下一篇:成人牙齿矫正的过程难度怎么样



