人老牙先衰 56岁大妈体验美莱
- 时间:2016-08-02
- QQ咨询
- |
- 医师答疑
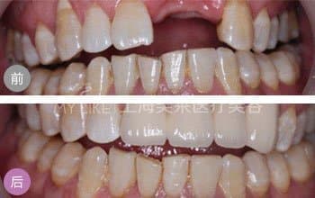
都说人老牙先衰,这话倒是一点都不假。老年朋友是牙齿缺失的主要人群,而且缺失牙齿的数量一般都还比较多。特别是本来就有口腔疾病的老年朋友,牙齿缺失情况就更严重了。赵妈妈今年56岁,曾患有牙周病,由于没有得到及时、有效的治疗,导致嘴里的牙齿大半脱落。

后来,虽然有镶牙,但假牙根本不给力。每饭餐只能是凑合着吃一些,做作样子。做儿子的赵先生看着母亲日渐消瘦,闷闷的不乐的,心里很是着急。心里总想着,什么时候能尽快让母亲吃上一顿满意的饭菜,家里重新有欢声笑语。
经过搜索,赵先生听说现在有一种技术,可以在缺失牙位置“种牙”,这种牙齿就像真牙一样“长”在口腔里一样。为此,赵先生带着母亲来到了上海美莱,找到了美莱医生。美莱医生王春梅为赵母做了详细的口腔检查,他认为赵母身体总体健康,口腔状况也没有炎症,可以做修复缺牙。
美莱医生指出,、假牙都可以修复缺牙。假牙的优势在于费用较低,但假牙仅靠牙床粘膜软组织的支持,固定力量薄弱,很容易松动、脱落,咀嚼功能也不佳,只能恢复正常功能的三、四成,说话吃东西时有异物感,如果牙龈受力不当,正常牙槽骨将会逐渐萎缩,假牙效果也会越来越差。
美莱医生接着介绍,是植入牙槽骨,并与之“生长在一起”,形成良好、稳定的骨结合后,具有很强的固位力与稳定性,可像真牙一样扎根在患者的口腔里一样。因此,如果想让父母晚年不受缺牙之苦,保持更好的生活品质,牢固、咀嚼真实的是“一劳永逸”的选择。
美莱医生介绍,的优势:
美莱 献给母亲的关爱!
1、该系统种植体外观类似天然牙根的形状,这样在种植时由于其根部逐渐缩窄,不易造成邻近牙根部的损伤;在用于即刻植时,其仿牙根形态,尤其适用于即刻种植修复技术。
2、系统,世界上第一个根形种植系统,保证了种植体周围软组织的极好的美学效果和的长期修复效果。微锥柱状螺纹种植体的设计利于提高初期稳定性;适应所有骨质。
3、种植系统在所有的骨质中均具有良好的稳定性,在某些骨量轻微不足的病例中甚至可以避免进行植骨;
4、即刻负重。这种独特的即刻负重优势,极大地缩短了种植及修复时间,适应现代快节奏的生活。
听了美莱医生的介绍,赵先生当即决定为母亲做。半年过去了,如今的赵妈妈已经拥有满口整齐、坚固的牙齿,吃什么都不是问题。现在赵妈妈的身体非常好,整天乐呵呵的,家里每天都洋溢着幸福的滋味。
- 上一篇:牙齿美白还得选对方法 可以试试这几种
- 下一篇:坑爹!父母不帮孩子矫正牙齿会被起诉



