冷光美白牙齿明显高效能维持多久?
- 时间:2015-10-22
- QQ咨询
- |
- 医师答疑
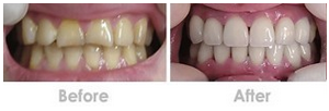
拥有口整齐洁白的牙齿,可以让爱美者看起来更加具有亲和力。尤其是对于那些牙齿发黄的人来讲,都想通过牙齿美白来有效告别黄牙拥有洁白有健康上的皓齿,冷光美白在牙齿美白方面直于其他方式,那么,冷光美白牙齿的明显高效能维持多长时间呢?

冷光美白明显高效怎么样
冷光美白牙齿技术主要是利用低温的蓝光,它可以使牙齿得到从根本上的美白明显高效,由于这项技术是低温冷光,可以避免治疗过程中对牙神经的刺激。美白剂的主要成分为过氧化氢,安心使用在牙齿脱色上已有10年之久。在亲水性NA物和有效不接触牙龈的美白过程中,对牙齿结构及珐琅质不造成任何伤害。
冷光美白牙齿的原理
冷光美白是制作中性的美白剂,经由美白光照发出的光源,渐渐渗入牙齿,袪除牙齿染色达到美白明显高效,约四十五分钟便可产生美白牙齿的化学作用,而疗程中所使用的过氧化氢NA剂,已安心地使用在牙齿上超过百年,且大部分的紫外线与红外线已被过滤,所以它是清凉地照射在牙齿上,也就是说治疗过程很安心。
冷光美白牙齿的明显高效能维持多长时间呢?冷光美白的明显高效的般能维持3-5年,但想要其明显高效更加的有效。在进行冷光美白牙齿24小时之内,千万好不要吃刺激性大的食物,并且也不要吃些含有色的食物,这样可以有效避免美白后的牙齿再次着色,受到色素的侵蚀。要保持良好的口腔卫生卫生,注意口腔清洁,每天早晚要刷牙,这样能使冷光美白牙齿明显高效更加持久。

能拥有口健康洁白的牙齿也是非常幸福的,可以不再“腼腆”,想笑就笑,想说就说,不用再担心会有人嘲笑牙齿不洁白。
- 上一篇:任何人都可以做冷光美白吗?
- 下一篇:实用的牙齿美白方法有多少种?



